
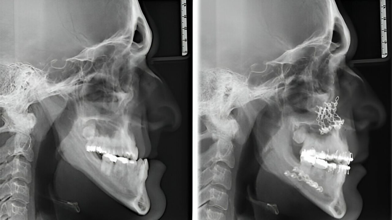
Cirurgia Ortognática antes e depois: conheça os resultados!
A cirurgia ortognática é um procedimento cirúrgico que visa corrigir desalinhamentos faciais e maxilares, proporcionando melhorias estéticas e funcionais significativas. Neste artigo, exploraremos o processo








