A cirurgia ortognática é um procedimento cirúrgico que visa corrigir desalinhamentos faciais e maxilares, proporcionando melhorias estéticas e funcionais significativas.
Neste artigo, exploraremos o processo da cirurgia ortognática, desde a avaliação inicial até os resultados transformadores antes e depois do procedimento:
Aqui você vai encontrar:
ToggleO que são Cirurgias Ortognáticas?
As cirurgias ortognáticas são realizadas para corrigir problemas de oclusão dentária e desalinhamentos faciais, desalinhamentos faciais e maxilares significativos que afetam a oclusão dentária e a função mastigatória, que não podem ser corrigidos apenas com tratamentos ortodônticos.
Esses desalinhamentos podem resultar em problemas como mordida cruzada, sobremordida, prognatismo ou retrognatismo mandibular, entre outros.
Esses procedimentos envolvem cortes cirúrgicos nos ossos da mandíbula, maxila ou ambos, permitindo sua reposição em uma posição mais harmoniosa e funcional.
Durante a cirurgia ortognática, o cirurgião realiza cortes cirúrgicos nos ossos da mandíbula, maxila ou ambos, para reposicioná-los em uma posição mais adequada e harmoniosa. Essa correção não só melhora a estética facial do paciente, mas também restaura a função mastigatória e promove uma oclusão dentária correta.
Por que é realizada a cirurgia ortognática?
A cirurgia ortognática é indicada quando os problemas de desalinhamento facial não podem ser corrigidos apenas com tratamentos ortodônticos, como aparelhos dentários. Esse procedimento é frequentemente recomendados para casos de:
Mordida cruzada: quando os dentes superiores não se encaixam corretamente com os inferiores.
Sobremordida: quando os dentes superiores cobrem excessivamente os dentes inferiores.
Prognatismo mandibular: onde a mandíbula inferior é projetada muito para frente.
Retrognatismo mandibular: onde a mandíbula inferior é recuada em relação à maxila.
Assimetria facial: quando há desequilíbrio significativo entre os lados do rosto.
Como funciona uma cirurgia ortognática?
É importante entender como a cirurgia ortognática funciona, caso essa seja a indicação do dentista para seu caso:
Avaliação e planejamento
Antes da cirurgia, o paciente passa por uma avaliação detalhada, que pode incluir exames de imagem, moldagem dental e análise da oclusão. Com base nesses dados, um plano de tratamento personalizado é desenvolvido para corrigir os desalinhamentos faciais específicos do paciente.
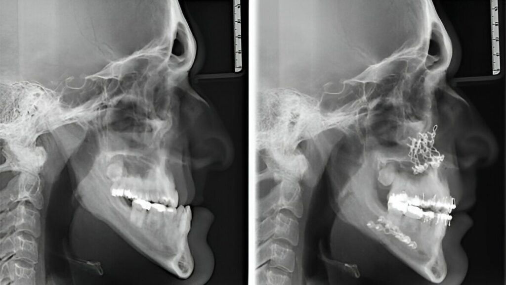
O procedimento cirúrgico
Durante a cirurgia ortognática, o cirurgião realiza incisões nos ossos da mandíbula e/ou maxila para reposicioná-los de acordo com o plano de tratamento.
Após a reposição dos ossos, placas e parafusos são utilizados para fixá-los na nova posição. A duração da cirurgia e o tempo de recuperação variam dependendo da complexidade do caso.
Recuperação e cuidados pós-operatórios
Após a cirurgia, o paciente pode experimentar inchaço facial, desconforto e dificuldade para falar e comer nos primeiros dias, fazendo com que o processo de recuperação e os cuidados pós-operatórios sejam fundamentais para garantir uma cicatrização adequada e minimizar complicações.
Aqui estão algumas orientações gerais sobre o que esperar e como cuidar de si mesmo após o procedimento:
Inchaço e desconforto
- Inchaço: é normal experimentar inchaço facial após a cirurgia, atingindo o pico nos primeiros dias e diminuindo gradualmente ao longo das semanas seguintes.
- Desconforto: o desconforto é comum, especialmente nas primeiras 48 horas após a cirurgia. O médico pode prescrever medicamentos para controlar a dor.
Alimentação
- Dieta líquida ou macia: nos primeiros dias após a cirurgia, é recomendável uma dieta líquida ou macia para evitar pressão excessiva sobre os ossos recém-posicionados. Isso pode incluir sopas, purês, sucos, iogurtes e alimentos similares.
- Evite alimentos duros: evite alimentos duros ou crocantes que possam causar desconforto ou danificar os pontos de sutura.
Higiene Oral
- Enxágue bucal: o médico pode recomendar um enxágue bucal suave com água morna e sal para ajudar na cicatrização e prevenir infecções.
- Escovação suave: continue escovando os dentes com cuidado, evitando áreas sensíveis ou pontos de sutura. O uso de um enxaguante bucal antibacteriano pode ser recomendado.
- Evite esforço excessivo: evite cuspir com força ou enxaguar a boca vigorosamente para evitar o desalojamento de coágulos ou pontos de sutura.
Repouso e atividade física
- Repouso adequado: descanse bastante nos primeiros dias após a cirurgia para permitir que seu corpo se recupere. Evite atividades extenuantes.
- Atividade moderada: após alguns dias, é importante começar a se movimentar suavemente para evitar complicações como coágulos sanguíneos. No entanto, evite levantar objetos pesados ou fazer exercícios vigorosos.
Acompanhamento médico
- Consultas de acompanhamento: é importante comparecer a todas as consultas de acompanhamento agendadas com seu cirurgião para avaliar a progressão da cicatrização e fazer ajustes conforme necessário.
- Comunique-se com o médico: entre em contato com seu cirurgião imediatamente se tiver qualquer preocupação, como dor intensa, sangramento excessivo, febre ou inchaço anormal.
Paciência e autocuidado
- Tempo de recuperação: lembre-se de que a recuperação total de uma cirurgia ortognática pode levar semanas a meses. Tenha paciência e siga todas as orientações do seu médico para otimizar sua recuperação.
- Cuide de si mesmo: além dos cuidados físicos, não se esqueça de cuidar também da sua saúde mental e emocional durante o processo de recuperação. Busque apoio emocional, se necessário, e pratique técnicas de relaxamento para ajudar a aliviar o estresse.
Seguindo essas orientações e mantendo uma comunicação aberta com seu cirurgião, você estará no caminho certo para uma recuperação suave e bem-sucedida após sua cirurgia ortognática.
Cirurgia ortognática antes e depois: resultados
Os resultados das cirurgias ortognáticas podem ser impressionantes. Antes do procedimento, o paciente pode apresentar desalinhamentos faciais significativos, problemas de oclusão e autoestima prejudicada.
Além da melhoria estética, os pacientes geralmente experimentam uma restauração significativa da função mastigatória, respiratória e da articulação temporomandibular (ATM). Esses procedimentos não só transformam a aparência facial, mas também melhoram a autoconfiança e a qualidade de vida do paciente.
Após a recuperação completa, que pode levar alguns meses, o paciente geralmente exibe uma melhora notável na harmonia facial, função mastigatória e confiança pessoal.
As cirurgias ortognáticas são realizadas por cirurgiões bucomaxilofaciais altamente treinados e exigem uma equipe multidisciplinar, que pode incluir ortodontistas, para garantir o sucesso do procedimento e a satisfação do paciente.
Experiências de pacientes
Muitos pacientes compartilham suas histórias de transformação após cirurgias ortognáticas. Eles relatam não apenas melhorias estéticas, mas também uma mudança positiva em sua qualidade de vida, autoconfiança e bem-estar emocional.
As cirurgias ortognáticas antes e depois representam uma jornada de transformação completa para muitos pacientes.
Se você está considerando esse procedimento, consulte um cirurgião bucomaxilofacial qualificado para uma avaliação completa e um plano de tratamento personalizado.
Com o devido cuidado e comprometimento, as cirurgias ortognáticas podem oferecer resultados estéticos e funcionais duradouros, transformando sorrisos e vidas.
Para saber se a cirurgia ortognática é a solução para o seu caso, não deixe de realizar uma consulta com o seu dentista que irá avaliar as particularidades de seu caso.
A AmorSaúde é a rede de clínicas populares que mais cresce no Brasil, oferecendo diversas especialidades como cardiologia, oftalmologia, odontologia e ginecologia.
Se você gostou deste conteúdo e deseja investir mais na sua saúde, agende já sua consulta conosco!











