
3 motivos para procurar um dentista e cuidar da sua saúde bucal
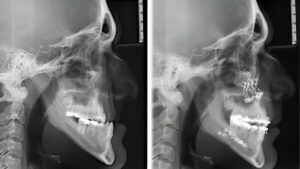
Cuidar da saúde bucal é essencial para manter um sorriso saudável e prevenir complicações futuras. Muitas pessoas não percebem a importância de consultar o dentista
AGENDE PELO ZAP
Ir para o conteúdo
No Blog AmorSaúde, você encontra conteúdos sobre saúde, bem-estar, prevenção de doenças e qualidade de vida. Explore nossos artigos e descubra informações essenciais para cuidar melhor de você e de toda a sua família.

Cuidar da saúde bucal é essencial para manter um sorriso saudável e prevenir complicações futuras. Muitas pessoas não percebem a importância de consultar o dentista

O surgimento de um caroço no céu da boca pode gerar preocupação e desconforto, pois pode estar relacionado a diversas condições, desde lesões benignas até

O olho tremendo é um sintoma que, embora pareça simples, pode causar bastante desconforto e preocupação, esse tremor involuntário, conhecido como mioquimia, afeta a pálpebra

As doenças bucais são problemas comuns que podem afetar a saúde e o bem-estar de qualquer pessoa, desde cáries até doenças gengivais, essas condições podem

Encontrar um dentista que atenda às necessidades de você e sua família pode ser uma tarefa desafiadora, a saúde bucal é fundamental para a saúde

A primeira visita ao dentista é um passo fundamental na manutenção da saúde bucal, essa experiência inicial não apenas estabelece as bases para um cuidado